Avulsion Fracture Foot / This can occur at the ligament by the application of forces external to the body (such as a fall or pull).

Avulsion Fracture Foot / This can occur at the ligament by the application of forces external to the body (such as a fall or pull).. With an avulsion fracture, an injury to the bone occurs near where the bone attaches to a tendon or ligament. Indications for conservative or operative treatment are discussed in detail. An avulsion fracture occurs when a tendon or ligament attached to a bone pulls against it and fractures off a piece of the bone. This article will review multiple foot avulsion fractures, their respective mechanisms of injury, clinical and radiographic presentations, and most. Traditionally this avulsion fracture has been ascribed to the insertion of peroneus brevis and is caused by forcible inversion of the foot in plantar flexion, as may occur while stepping on a curb or climbing steps.

A very common foot fracture that sometimes occurs during an ankle sprain is the avulsion fracture of the tuberosity, or base, of the fifth metatarsal. An avulsion fracture to your foot or ankle may require a cast or walking boot. They most often involve the metatarsals and toes. Due to similar clinical presentations, avulsion fractures are frequently missed on initial exam and categorically treated as sprain not otherwise specified. Anyone can suffer an avulsion fracture of the ankle, but athletes and children are more prone to them than the rest of us.

Acl Avulsion Fracture Fifa Medical Platform
Acl Avulsion Fracture Fifa Medical Platform from www.fifamedicalnetwork.com
They are more common in children than adults, but often affect adults who. I can walk perfectly fine now. This type of fracture can happen anywhere a tendon or ligament is attached to a bone, but they typically affect ankles, hips, fingers, and feet. Sometimes you can get an avulsion fracture in other bones, such as the hand. A fifth metatarsal tuberosity avulsion fracture can be. If you have been given a boot to wear. A foot avulsion injury commonly occurs in the 5th metatarsal and is often referred to as a dancer's fracture. Avulsion fractures can be confused with other types of fractures to the fifth metatarsal bone.

Avulsion fractures can be confused with other types of fractures to the fifth metatarsal bone.

Indications for conservative or operative treatment are discussed in detail. Avulsion fractures can be confused with other types of fractures to the fifth metatarsal bone. However, when i or the doctor press on the specific area, i feel no pain. This can occur at the ligament by the application of forces external to the body (such as a fall or pull). While this injury needs to be distinguished from. I feel only a little pain in my ankle from the. They heal very well with. The most common problem is distinguishing this injury a fifth metatarsal avulsion fracture is a common injury that occurs when the foot is twisted awkwardly. This article will review multiple foot avulsion fractures, their respective mechanisms of injury, clinical and radiographic presentations, and most. I can walk perfectly fine now. Our feet and toes lead us around one type is the proximal avulsion fracture. If an avulsion fracture results in a large displaced. Avulsion fractures can happen anywhere in the body but are most common in the ankle, hip, finger, and foot.

An avulsion fracture occurs when a tendon or ligament attached to a bone pulls against it and fractures off a piece of the bone. This type of fracture can happen anywhere a tendon or ligament is attached to a bone, but they typically affect ankles, hips, fingers, and feet. Fractures of the toes and forefoot are quite common. Avulsion fractures can be confused with other types of fractures to the fifth metatarsal bone. Foot fractures are among the most common foot injuries evaluated by primary care physicians, most often involving the metatarsals and toes.

Avulsion Fracture Of The Calcaneus Cmaj
Avulsion Fracture Of The Calcaneus Cmaj from www.cmaj.ca
Sometimes you can get an avulsion fracture in other bones, such as the hand. An avulsion fracture is when you pull a ligament or tendon from a bone and a piece of that bone comes with it. Foot fractures are among the most common foot injuries evaluated by primary care physicians. A foot avulsion injury commonly occurs in the 5th metatarsal and is often referred to as a dancer's fracture. For pain relieve, ice and acetominophen can be helpful. Indications for conservative or operative treatment are discussed in detail. A very common foot fracture that sometimes occurs during an ankle sprain is the avulsion fracture of the tuberosity, or base, of the fifth metatarsal. Feet are very vulnerable to slipping and twisting.

An avulsion fracture occurs when a tendon or ligament that is attached to the bone pulls a piece of the fractured bone off.

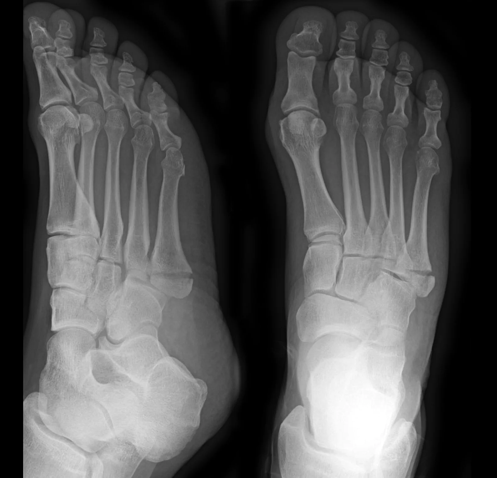
Jones fractures occur in a small area of the fifth metatarsal that receives less blood and is therefore more prone to difficulties in healing. Fractures of the toes and forefoot are quite common. Use the video or information below to you may walk on the foot as comfort allows but you may find it easier to walk on your heel in the early stages. This article will review multiple foot avulsion fractures, their respective mechanisms of injury, clinical and radiographic presentations, and most. Questions and answers regarding fractures of the foot and ankle. An avulsion fracture is a bone fracture which occurs when a fragment of bone tears away from the main mass of bone as a result of physical trauma. An avulsion fracture to your foot or ankle may require a cast or walking boot. Our feet and toes lead us around one type is the proximal avulsion fracture. These are very common and usually happen at the same time as a sprained ankle. Fractures can result from a direct blow to the foot—such as accidentally kicking something hard most fifth metatarsal fractures can be treated with weight bearing as comfortable in a walking boot. An avulsion fracture is when you pull a ligament or tendon from a bone and a piece of that bone comes with it. Avulsion fractures can be confused with other types of fractures to the fifth metatarsal bone. Indications for conservative or operative treatment are discussed in detail.

For pain relieve, ice and acetominophen can be helpful. Oblique radiograph of the foot shows a transverse avulsion fracture (arrow) of the 5th metatarsal bone with displacement and extension into. Foot fractures are among the most common foot injuries evaluated by primary care physicians. I feel only a little pain in my ankle from the. For a stress fracture of the foot, the best treatment is to give the foot time to heal by resting as much as possible.

Metatarsal Fractures The Bone School
Metatarsal Fractures The Bone School from 52.62.202.235
In children, avulsion fractures that involve the growth plates also might require surgery. The most common problem is distinguishing this injury a fifth metatarsal avulsion fracture is a common injury that occurs when the foot is twisted awkwardly. I am almost 10 weeks out from a bad fall resulting in a 3°ankle sprain and a complete non displaced fracture at the base of the 5th metatarsal. Oblique radiograph of the foot shows a transverse avulsion fracture (arrow) of the 5th metatarsal bone with displacement and extension into. An avulsion fracture occurs when a tendon or ligament that is attached to the bone pulls a piece of the fractured bone off. Proximal fifth metatarsal fractures have different treatments depending on the location of the fracture. If you have been given a boot to wear. Questions and answers regarding fractures of the foot and ankle.

Ankle avulsion fractures can occur as a complication of ankle sprains, where the ligament figure:

This article will review multiple foot avulsion fractures, their respective mechanisms of injury, clinical and radiographic presentations, and most. Fractures of the toes and forefoot are quite common. In children, avulsion fractures that involve the growth plates also might require surgery. These are very common and usually happen at the same time as a sprained ankle. Use the video or information below to you may walk on the foot as comfort allows but you may find it easier to walk on your heel in the early stages. Avulsion fracture at the base of the fifth metatarsal (insertion. With an avulsion fracture, an injury to the bone occurs near where the bone attaches to a tendon or ligament. An avulsion fracture to your foot or ankle may require a cast or walking boot. Questions and answers regarding fractures of the foot and ankle. Indications for conservative or operative treatment are discussed in detail. Feet are very vulnerable to slipping and twisting. Oblique radiograph of the foot shows a transverse avulsion fracture (arrow) of the 5th metatarsal bone with displacement and extension into. Avulsion fractures can happen anywhere in the body but are most common in the ankle, hip, finger, and foot.

A foot avulsion injury commonly occurs in the 5th metatarsal and is often referred to as a dancer's fracture avulsion fracture. I feel only a little pain in my ankle from the.

Posting Komentar

Lebih baru Lebih lama